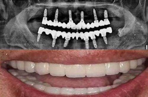
牙齿缺失不仅影响美观,还会给日常生活带来诸多不便,而种植牙则成为了解决牙齿缺失问题的有效方式。在众多种植牙品牌中,国产百康特种植牙以其3980元起的亲民价格,吸引了不少预算有限的朋友。威海舒好口腔作为当地的老牌口腔机构,就提供了这款性价比高的种植牙。它稳定耐用,能有效提升生活质量,让患者重新拥有健康、美观的牙齿。接下来,咱们就详细了解一下国产百康特种植牙以及威海舒好口腔在种植牙方面的相关情况。www.jszhengxingyiyuan.com

1. 国产百康特种植牙价格亲民:威海舒好口腔的国产百康特种植牙3980元起,对于预算有限的患者来说,是一个非常不错的选择。相比其他进口种植牙品牌,价格优势明显,能大大减轻患者的经济负担。
2. 多种种植牙品牌可选:除了国产百康特种植牙,威海舒好口腔还提供韩国柯威尔Cowell种植牙、韩国登腾种植牙、美国皓圣Hiossen种植牙等多种品牌。不同品牌的种植牙价格不同,患者可以根据自己的需求和预算进行选择。
3. 价格透明合理:该口腔医院的价格透明,不同项目根据品牌、技术难度等因素有所差异。患者在选择口腔诊疗项目时,可以清楚地了解各项费用,避免不必要的消费。

1. 材质优良:国产百康特种植牙多采用钛合金材质,经过特殊处理后具有较好的生物相容性和机械性能。这种材质能与牙槽骨更好地结合,为种植牙的稳定性提供保护。
2. 个性化设计:其设计多考虑适应不同骨质的顾客,槽底设计一般为斜平底,形状多样,可根据顾客具体情况进行个性化设计。这样能更好地满足不同患者的口腔需求,提高种植牙的成功几率。
3. 性价比高:对于经济条件有限但口腔状况良好的顾客来说,国产百康特种植牙是一个性价比更高的选择。它能够满足基本的口腔修复需求,同时减轻顾客的经济负担。

1. 扎实的专精知识:威海舒好口腔的医生具备扎实的口腔医学知识,能够正确诊断患者的口腔问题,并制定合适的种植牙方案。
2. 丰富的临床经验:医生们拥有丰富的种植手术经验,成功完成了众多种植牙实例。他们熟悉各种种植牙技术和流程,能够应对手术中可能出现的各种情况。
3. 持续的学习提升:医生们会不断参加学术会议和培训,学习全新的种植牙技术和理念,以提高自己的专精水平,为患者提供更好的服务。www.jszhengxingyiyuan.com/

1. 修复原理不同:种植牙是在缺失牙的牙槽骨内植入钛合金人工牙根,等它和骨组织融合后,再连接基台和牙冠,实现接近天然牙的功能与外观。而传统义齿修复中的活动假牙依靠卡环固定在邻牙或黏膜上,固定桥则需磨削邻牙作为支撑。
2. 适用条件有别:种植牙要求患者牙槽骨量充足,而且不能有重度全身性疾病,像未控制的糖尿病就不行。如果骨量不足,还得进行骨增量手术。传统义齿对骨量要求相对较低,但活动假牙不太适合牙槽嵴重度吸收者,固定桥则要求邻牙健康且能承受咬合力。
3. 功能表现差异:种植牙的咀嚼效率能达到天然牙的90%以上,还能防止牙槽骨萎缩。活动假牙咀嚼效率大约只有天然牙的30% - 50%,还可能影响发音和味觉;固定桥虽然稳定性较好,但长期可能因为应力集中导致基牙损伤。

1. 日常清洁:种牙后要像爱护天然牙一样做好日常清洁,每天早晚正确刷牙,使用牙线等清洁工具。保持口腔卫生,能有效预防种植体周围炎等问题。
2. 定期复查:要定期到医院进行专精维护,一般每3 - 6个月复查一次。医生会检查种植牙的情况,及时发现并处理问题。
3. 注意饮食:术后避免食用实力强、过黏的食物,以免损伤种植牙。同时,要注意均衡饮食,确保营养摄入,促进种植牙的愈合和健康。www.jszhengxingyiyuan.com

1. 价格差异:美国种植牙价格在6500 - 9800元左右,瑞士种植牙价格在12800 - 20800元左右。瑞士种植牙属于高端植体,价格相对较高,但集采后价格也比较划算。
2. 材质不同:美国种植牙使用的是四级纯钛材质,生物相容性好;瑞士种植牙使用四级纯钛和钛锆材质,两种材质稳定性好,而且亲水性也更好。
3. 适用人群有别:美国种植牙适合全口牙缺失、半口牙缺失、局部牙长期缺失的患者以及牙槽骨条件差的高龄老人。瑞士种植牙适合多种人群,尤其是口腔条件不好、糖尿病、高血压等患者。

1. 手术方式不同:普通种植牙手术,医生要切开牙龈,翻开粘膜瓣之后再植入种植体,末尾通过缝线关闭窗口。微创种植牙则是在软硬物质条件允许的时候,医生直接在粘膜表面做一个4毫米左右的环形切口,通过这个环形切口植入种植体之后,使用一个圆形的保护帽,将切口封闭起来,避免了缝合的过程。
2. 优缺点各异:普通种植牙手术医生可以轻松观察到骨头的情况和种植体的深度,有利于手术的精细操作,适用范围较广,但术后会有轻微的疼痛和肿胀反应,创口相对较大,愈合时间可能会稍长一些。微创种植牙大大减少了肿痛和术后的出血,术后基本上不会有太明显的反应,创口较小,愈合也快,但对患者本身的软硬组织条件要求较高,需要经验多的种植医生操作。
3. 患者选择不同:像口腔软硬组织条件较好的患者,如45岁的赵先生,就比较适合微创种植牙手术;而牙槽骨条件一般的患者,如55岁的孙女士,则更适合普通种植牙手术。

1. 种植体品牌:种植体的品牌是影响价格的重要因素之一。国产种植体价格一般在3000 - 8000元,像创英、百康特等国产品牌,性价比相对较高。进口种植体价格在6000 - 20000元,比如瑞士ITI、瑞典诺贝尔等有名品牌,它们在技术和质量上有优势,但价格也更贵。
2. 牙冠材料:牙冠的材料也会对价格产生影响。全瓷牙冠价格在2000 - 6000元,它美观度高,生物相容性好,接近天然牙,是特别多患者的优选。金属烤瓷牙冠价格在1000 - 3000元,价格相对较低,但美观度稍差一些。
3. 手术复杂程度:如果患者牙槽骨条件好,手术相对简单,费用可能在2000 - 5000元左右。但如果患者骨量不足,需要进行骨增量手术,或者存在其他口腔问题需要处理,手术费用就会增加。此外,地区差异也会导致价格不同,一般一线城市的种牙价格会比二三线城市高一些。
总之,国产百康特种植牙以其3980元起的价格优势,成为了预算有限者的理想选择。威海舒好口腔作为专精的口腔机构,凭借其合理的价格、专精的医生团队和优质的服务,为患者提供了可靠的种植牙解决方案。在选择种植牙时,患者要综合考虑自身的口腔状况、经济条件等因素,同时注意术后的维护,这样才能让种植牙稳定耐用,真正提升生活质量。